
Histo Lab
Home
Our services
Advanced Techniques
How to order
Quality assurance
About us
Privacy policy
Terms and Conditions
|
TadPath Diagnostics
Quality - Assured
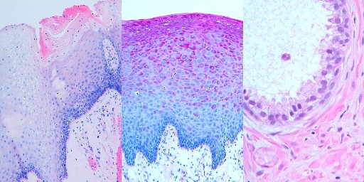
At TadPath we pride ourselves on providing a high quality laboratory service with a focus on safety and accuracy. To give you some examples of our quality workmanship, all histology images shown on this website are from tissues that were processed, cut, stained and photographed in our lab. Here are the measures we take to ensure that we maintain the highest quality standards:
- ISO 15189 Standard - Our Quality Management System is of a high standard. Even though we do not hold UKAS accreditation our lab systems are based on the international standard for medical laboratories (known as ISO 15189).
- IQC Procedures - We have a detailed and documented in house policy for internal quality control. All slides are checked under a microscope prior to leaving the lab to ensure high quality standards.
- Experience - Our reporting consultant, Dr Tadrous, has worked in clinical medicine and pathology for over 30 years and is highly experienced in diagnostic pathology reporting and laboratory management. Prior to retirement from clinical practice Dr Tadrous was a Fellow of the Royal College of Pathologists and an NHS Consultant for over 15 years.
- Quality Audits - We conduct audits on various aspects of our service to ensure that we continue to provide a high quality service and that this is continually maintained and improved.
- Laboratory automation - We have computer-controlled robotic laboratroy equipment for tissue processing, microtomy, staining, and coverslipping which helps to ensure a uniform quality standard throughout the lab.
- Preventative servicing - Our critical machinery has been serviced by professional personnel. Any worn components are detected early and replaced or repaired before they result in a serious problem. This is how we ensure high standards of safety and quality in taking care of your precious samples.
- Get in touch - Please contact us to learn more about our service. We're happy to help.
|
|